Even after a whole year of fighting this deadly virus, there’s a devastating amount of things we still have yet to find out about COVID-19 and its long-term effects on a person’s health. However, recently, a doctor from Texas, who’s treated thousands of COVID patients since March, shared some valuable insights on the disease and its consequences after comparing three lung X-rays: one of a healthy patient, one of a smoker, and one of a COVID-19 patient.
More info: Twitter
A trauma surgeon from Texas revealed some valuable insights about COVID-19 and its long-term effects after comparing 3 lung X-rays

Image credits: BKendallMD
Dr. Brittany Bankhead-Kendall, an assistant professor at Texas Tech University Health Sciences Center, went on Twitter to share that post-COVID lungs look way worse than any type of terrible smoker’s lungs she’s ever seen.
The doctor also posted photos of three lung X-rays—one of a healthy patient, one of a smoker, and one of a COVID-19 patient—to point out the differences.
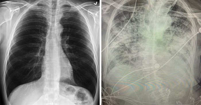
The lungs of a healthy patient appear to be clear as they have a lot of black space, indicating that a person can inhale a great deal of air

Image credits: MarkieMartin
Looking at the X-ray of a smoker’s lungs, you can notice some haziness indicating scarring and congestion

Image credits: MarkieMartin
The third image shows post-COVID lungs which appear to be almost fully white, meaning the lungs are severely damaged

Image credits: MarkieMartin
After her tweet gained a lot of attention and received thousands of responses, the doctor was invited to say a few words during CBS DFW news. “Everyone’s just so worried about the mortality thing and that’s terrible and it’s awful,” Dr. Brittany Bankhead-Kendall pointed out. “But man, and all the survivors and the people who have tested positive this is—it’s going to be a problem.”
As you can tell from the X-ray comparison, post-COVID lungs can look way worse than those of a smoker
Image credits: KMOV St. Louis
“There are still people who say ‘I’m fine, I don’t have any issues,’ and you pull up their chest X-ray and they absolutely have a bad chest X-ray,” the doctor told CBS DFW. “You’ll either see a lot of that white, dense scarring or you’ll see it throughout the entire lung. And if you’re not feeling problems now, the fact that that’s on your chest X-ray, it sure is indicative of you possibly having problems later on.”
Turns out, even asymptomatic COVID cases can leave patients with severe lung damage

Image credits: BKendallMD
Apparently, even asymptomatic patients show a severe chest X-ray 70 to 80 percent of the time. Dr. Bankhead Kendall also adds that if a post-COVID patient is experiencing shortness of breath, they should stay in touch with their primary care doctor.
“There is no long-term implication of a vaccine that could ever be as bad as the long-term implications of COVID”

Image credits: BKendallMD
Here’s how people reacted to the doctor’s insights

Image credits: arbport

Image credits: natwalt9

Image credits: dlana5

Image credits: M__Cassidy

Image credits: elpearse

Image credits: PappasAlec

Image credits: Jinsbek

Image credits: hollyness888

Image credits: mariaaureum

Image credits: CurtisMalbeuf
Follow Us






