Most of the time, humans put logic and reasoning above everything else. It’s only natural—that’s how we explain and understand things, solve problems, and make decisions. Unfortunately, we can’t employ logic or reasoning to decipher everything. So when they fail, we resort to other intelligences of ours, like emotional, kinesthetic, and existential. But despite us being armed with so many smarts, some things still remain unexplainable to us, becoming mysteries that keep us restless for answers.
People share many such cases on the ‘Strange’ subreddit, which our Bored Panda team scoured to compile a list of some of the most fascinating instances below. To find them, all you have to do is scroll down!
#1 Found A Baby Bottle In My Cupboard That’s Not Mine
today i opened a cupboard that i maybe open up once every 2 weeks to grab a mug. and i saw a lid-less baby bottle on one of the higher shelves in the cupboard. i instantly got scared because 1) i live alone 2) i don’t have any children and have never owned a baby bottle!
i rarely have people over and i moved in a few months ago. things i’ve considered
- that it was left by previous tenants: i put down shelf liner on all of the cupboard shelves and this was sitting right on top of the shelf liner and it was front and center on the shelf, not hiding somewhere in the back
- that someone who has been in my apartment left it here: the only people who have been here are my boyfriend 1 month ago and my dad helped me move in 2 months ago. neither of them recognized it. i haven’t put in a maintenance request in the last 2 months
- that i forgot to lock my doors: highly unlikely but possible. even so, why would someone come in and leave a baby bottle on a hard-to-reach shelf?
- that maybe it came from my parents house and it’s an old bottle from when me and my siblings were babies: the manufacturing date on the bottom of the bottle is 24/09/10 (sept 9 2010). that is far too late for my parents to have purchased it for me or one of my siblings.
this is really bothering me and i know it doesn’t make sense that someone would break into my apartment and leave a lid-less baby bottle. if anyone can think of any other explanations please please let me know. TIA

Image source: Puzzleheaded-Word392
#2 Who Are These Two And Why Did They Randomly Appear On The TV When It Was Supposed To Be Off??
I’m posting something weird that happened to my friend’s mother. She was cleaning out her closet in her home, alone and no TV or radio or anything on as doing so. But she felt something watching her and turned to see that not only was the TV on but the screen showed a video of a mother and what appeared to be her son. The video had no sound and no context. And the mother and son were standing and simply staring. Soon after, according to her mother, the tv had turned back off. Her mother claims its ghost but I think it might’ve been a strange signal frequency or some other plausible explanation.
Can anyone help me identify the figures or where the media might originate? I apologize for the bad photos.

Image source: I_am_the_okayone
#3 Someone Is Stuffing Money In My Door Jam
Okay so today again my mom found $2 and some change. My gf came about 5 mins before and she didn’t see nothing. But yesterday when my gf came a $20 was in the door jam , then again in the afternoon another $10. Before that again, about 3 weeks ago. When my dad came in the afternoon he found about $16 in the door jam again. I’m not sure wtf this means but this shit Fucken Wierd. Yes the bills are real. It doesn’t seem like there nothing on the bills. I’m installing a camera soon I already ordered it. We barely moved this side of the complex about 2-3 months ago.

Image source: GeneralBookie
#4 Strange Shell I Found That Looks Like A Finger
I found this while collecting shells in Daytona beach, it looks so creepily like a finger. I know it’s a species of shell but still so strange it formed this way.

Image source: melonpoo
#5 Sink Randomly Full Of Warm, Soapy Water…me And My Husband Were Asleep?
Okay, as the title suggests….my husband (25m) and I (24F) are asleep (it’s currently 00:55 as I type this) I wake up to get a drink of water and the washing up bowl is full of warm, soapy water…? Wake up my husband and he is just as confused, the pots are from earlier and all dry, we live alone and I ALWAYS leave my bowl/sink empty due to flies (Spain)…what the fuck? Ive never experienced this before, I have had weird experiences here but nothing like this

Image source: PinkPixelGoose
#6 2 Random People At My Door Today
My mom thinks it’s sumth to do w me being here cs it’s never happened while she’s lived here (im a slightly? average 20 yr old female) the first guy is there for a second, looks like he takes a pic, then sees the ring and moves and says something about “she” “parking garage” & “door” on the phone, the second guy stood there 2 and a half minutes and didn’t say anything just stood there. they also look extremely out of place in this neighborhood. she is also a corner apartment so it could be casing for a robbery?? idk but i’m freaked out. OH TO ADD: he was NOT a cop.

Image source: xioclue
#7 Found An AirTag In My Carryon After An International Flight. No One I Know Owns One
As the title says. I literally have 0 clue why it was in there. I can maybe imagine if it was in my checked baggage maybe they opened it and misplaced it, I don’t know? But in my CARRY-ON??? I’m so stumped. I disabled it once I found it

Image source: cluikk
#8 I Momentarily Forgot How To Write The Number 5

Image source: hopefully-someday
#9 Wasp Or Hornets Nest Built Around A Mask Looking Like Half A Human Torso😬😬

Image source: countryroadsguywv
#10 Upside Down Projection Of My Neighbor’s House On My Wall (Photo Is Brighter Than How It Actually Appeared Due To My Phones Camera )

Image source: REDACTED7381
#11 I Decided To Take A Picture Of The Sheep In The Evening And Saw This

Image source: MiserableQuit4371
#12 My Mom Says My Handwriting Is Strange. She Says It Looks Like If A Serial Criminal Was Using Ransom Letters To Write

Image source: That-Psychology4246
#13 My Chipped Mug Repaired Itself (I Live Alone)
Last year I bought these clay hand made mugs with my girlfriend in San Diego. I’m originally from there, but was only visiting, as I now live in the U.K. Mine is the brown one and hers is the blue one.
About 4 months ago I noticed that my mug had a decent sized chip in the handle, roughly about 10mm wide. It was quite noticeable, as you could see the exposed non-glazed clay, which was a lighter color and rough to the touch. I thought this was strange as I’ve never once knowing dropped it or dinked it. I’ve always hand washed it with care. But annoying as it was, things happen…things can get damaged.
A couple weeks goes by, and one morning I come downstairs to make a cup of tea. I go to grip the handle of my mug and notice it doesn’t feel rough anymore. I go to turn it around and notice the chip is completely gone. As if it had never even been broken in the first place. Nobody could have repaired it as I still currently live on my own. Plus, there are no hairline cracks in the handle to suggest that maybe the chipped piece had been glued back on (I never had the chipped piece to begin with when I first noticed the damage).
Lastly, the mug couldn’t have been swapped with a double, as these mugs came from 5,000 away and were all 1 of 1 unique to each other. Do clay mugs self heal? Am I missing something? Or do I need to get the hell out of my house?

Image source: Jimmy_mac3030
#14 Wtf Is My Coworker Doing?

Image source: Former-Economics9587
#15 Some Random Dude Left This Paper On My Car. What Does It Mean?

Image source: VoltNinjA
#16 Person Hiding In Hardware Store Shelves, Scared

Image source: satanfan12
#17 Strange Square Appears Overnight

Image source: FruitSnackie
#18 Horrifying Blue Glow Over The Horizon
This was taken a while back over Victoria Harbour from my apartment building parking lot at around 9 pm. I still have no idea what that ominous Miku-teal glow in the distance is, any ideas? I reckon it might be sky glow, though I don’t think that light pollution has gotten that bad (yet).

Image source: Radiodyte
#19 Weird Gelatinous Purple Blobs From Nowhere In My Water?
I filled my water bottle like I always do—first thing in the morning, straight from the tap. After a few sips, I felt something weird in my mouth and immediately spit it out. That’s when I noticed two small, purple, gelatinous blobs floating in the water (photo attached).
Here’s what I know:
• They were freely floating in the water.
• Texture: soft, jelly-like.
• Smell: faintly like Play-Doh.
• Taste: I didn’t mean to taste it (it got in my mouth by accident), but it was mostly neutral—maybe slightly floury or starchy.
• No residue in the bottle, cap, or sink.
• We haven’t baked anything or used flour recently.
• We don’t have kids, and there’s no jelly, candy, Jell-O, or similar stuff in our home.
The water bottle was clean last night and filled fresh this morning. I’m totally stumped. Could this be something from the tap? Something breaking down in the bottle? Just really confused and hoping someone has seen something like this before.

Image source: Yucky_duckies
#20 This Weird Text My GF Received From A Short Alert Number
The short number 8128 is used in Belgium to send OTP codes and other alerts (sms confirmation for ticket booking apps and so on).
I assume it’s some weird attempt at phishing but when scammers are spoofing this number, they usually impersonate banks or insurance companies and send a clickable link. Not this weird rambling.
So yeah… If anybody knows what to think of that, I wouldn’t mind solving the mystery.
(Of course she didn’t answer it.)
[EDIT] @ciaraslutler solved it : it’s a band “promo” (huh ?) sms. I assume they had a vanity number for the USA that made it clear it was coming from them, but they didn’t bother doing it in Belgium, hence the very weird message from a random number.

Image source: TheOneAndOnlySebPep
#21 Hoodoo Curse Or Nah? I Found This On My Doorstep
This just happened this evening and now I’m afraid to go to sleep. I didn’t see anyone. And most importantly, NO. I HAVE NOT TOUCHED IT. I did however leave a note next to it with a water as a paper weight that says FIND SOMEPLACE ELSE TO SIT PLEASE with NO LOITERING underlined on the corner of the paper. lol I really don’t understand why anybody would be running around the neighborhood without their cane. And who picks unbloomed flowers? Totally green buds? And they placed them strangely as well. This isn’t the first strange thing that has happened. Usually every summer some type of vandalism or attempt at vandalism occurs. And it’s ALWAYS ONLY ME it happens to. I ask neighbors and they never see anything. This feels different though. It’s just after 1:30am and it’s still out there.

Image source: Klutzy_Swim8122
#22 Domesticated Squirrel With Collar On?
Looking for advice/feedback. This is Samson. I work in a fairly populated area and we’ve always noticed that some of the squirrels at our birdfeeders are quite brave. At first, we just assumed it was because they’re so used to people, but lately we’ve started to wonder if someone has been feeding or even trying to domesticate them. There’s one squirrel in particular that has a collar on. It kind of looks like a child’s bracelet, and we can’t tell if someone put it there on purpose or if it just got stuck. I feel bad for the little guy and really want to help take it off. The squirrel will get pretty close to me, but I don’t think trying to grab it is the best call. I’m worried I’ll hurt it or stress it out. Should I just leave it alone, or is there a safe way to help it? My biggest fear is the collar gets stuck on something and the squirrel gets hurt. I’ve also considered calling some sort of wildlife rehabilitation, but I’m not really sure what they could do because Samson isn’t always here. Any advice is appreciated!

Image source: plantscurlscats
#23 This Purple Sphere Showed Up In The Sky In Most Villages In Lebanon, Does Anyone Know What It Is?

Image source: GoldenRedit69
#24 Unearthed Og iPhone And iPod In My Yard
I dug these up a few months ago, working on a garden in my front yard. This was strange because I (and my family) have always been Android users and have never owned any Apple products. Clearly they’ve been buried for a LONG time. I stuck them in a box with silica gel packets to dry out and I forgot about them, because I had no means of charging them up.
Flash forward to today, and I’ve obtained a charger that can power these devices. I’m interested in cleaning these devices and trying to charge them to inspect the contents. Do you guys think these devices are a lost cause? If not, how could I clean them? Would there be any risk in trying to clean/charge them?

Image source: Mission_Apple2043
#25 Statues Under A 70 Year Old House

Image source: pigeon_master_lover
#26 Random Flash Drive Left In My Windshield Wiper

Image source: eggica333
#27 I Took A Picture Of These Two Lizards Earlier. It Looked Just As Strange In Person

Image source: WTFrank87
#28 So….my Dog

Image source: bigSTUdazz
#29 My Phone Was In My Pants And Took These Photos By Accident
My phone sometimes would take random screenshots or even get unlocked in the pocket of my pants, just like an accidental pocket dial. But today is a bit more unusual as these are the photos it took. I don’t know what they are. (I checked meta data of them and they are indeed from the cam, not from WhatsApp or whatever.)

Image source: lynxhyena
#30 My Knife Always Returns To Me
I got this Leatherman over a decade ago. I’ve lost it multiple times over the year including in public, but it has always reappeared within two weeks. In one particularly notable case I felt it fall out of my jackets inner pocket while leaving a crowded circus, only to have it show up on an unused chair in my office 20+ miles away.

Image source: RepeatOrdinary182
#31 I Found A Iud On The Ground On My Way To The Dentist??

Image source: NoManager7322
#32 Food For Thought:

Image source: CorkFado
#33 I Found A Skeleton In My Car?
Ok so I live in FL and it’s been hot and all recently but I wouldn’t call it hot enough for a skeleton of something on the seat of my car. My friend found it sitting in the backseat of my car today, I have had a total of two ppl in my car before then. Does anyone know what the skeleton belongs to? Or why it would appear in my car??

Image source: BreadNorth8898
#34 I Burnt My Fingertips On The Stove And Now They Smell Like Hot Dogs

Image source: ieatgroundbeef13
#35 Random Hearing Aid Found In My Car On Drivers Side Floor

Image source: dreamyydaze
#36 Eggplant With Nose And Butt

Image source: NailsWithMayonnaise
#37 Found A Phone In A Puzzle

Image source: Ok_Possibility_9525
#38 A Regular Customer Gave Me This Porcelain Doll As A Souvenir From A Recent Trip For Some Reason
i’m a cashier. as the title says, one of our regulars brought me back this doll from a trip he went on recently. i don’t know how he got the idea that i like dolls (because i don’t — or at least, not dolls like this) but apparently her name is elsa and she’s mine now i guess. he carted her around for two weeks while traveling. i genuinely don’t know what to say lol i’m at a loss over this ngl. i’ve actually received a lot of gifts from customers but this one is definitely the weirdest

Image source: daisyroot1994
#39 Is This Blood?

Image source: wlynch43
#40 Found In My Yard
i’ve been living at this house for a couple years now and all of these things have been found recently. all items have been found within 1-2 ft of the house so i feel like i would’ve noticed them had they been here the whole time. they were all just sitting on top of the dirt, not buried or anything. the money in the mailbox happened several times over a couple of weeks but has finally stopped. how would you feel about this? 😅

Image source: Own_Song8196
#41 Q-Tip In My Drawer I’ve Never Seen Before
I will start my saying I am a very detail oriented person. I am very particular about my things and the placement of things in my room. I am very organized. I recently cleaned out my entire nightstand and took every single thing out of it, threw away trash, and put everything back. I have went into my nightstand a few times this week and gotten my things I needed out of it. Today, I went into my night stand and immediately got caught off guard. I saw a q-tip with what seems like red paint on the ends of it. I don’t recognize this at all, I know if I used it in the past and saw it, it would jog my memory or something. But I literally have ZERO recollection of ever using something like this. I don’t have red paint, nail polish, or anything like that. I asked my friend, boyfriend, parents, anyone that could have put it there and they all say they haven’t. It honestly really freaked me out, not because of the item but because something unfamiliar breached something I look at almost every single day. That’s why it caught me off guard so much, I honestly got scared. I know there are explanations but it was placed in such a spot that I know I would not have missed it the last times I opened it. It wasn’t like it fell in there casually, it almost seemed like it was placed perfectly there. I doubt it’s anything supernatural but it really has just disturbed me. Everyone is telling me not to worry about it but when something unfamiliar like that shows up in my room, that I’m already very particular about, scares me. Any plausible explanation I’ve already considered, and nothing makes sense to me. I know I sound crazy but trust me when I say I would know if I’ve seen that before. Thoughts?

Image source: Glittering_Fee9396
#42 Found A Random Stuffed Toy In My Car

Image source: Serpico914
#43 The Mirror In My Hotel Bathroom Is Completely Fogged Up Except For One Spot

Image source: FriendshipBorn7989
#44 Egg I Boiled Came Out Strange Iooking

Image source: Straight-Stay-6906
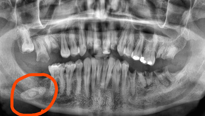
#45 My X-Ray Before I Got My Teeth Fixed Revealed A Extremely Large Saliva Gland Stone

Image source: Chosensoul444
#46 Got 3 Double Egg Yolks In A Row. Don’t Know How Rare This Is

Image source: Motor-Comment-6557
#47 Odd Dust Pattern

Image source: sofiaskyy1
#48 My Bag Of Cocina Tortillas Has A Frowny-Face Emoji On The Back

Image source: icehopper
#49 I’m A Grown Man Aged 34, And Have Been Told I’m Strange For Collecting Dolls. So Hello

Image source: mygoodguychucky
#50 Found This In The Glove Box Of The Car My Girlfriend Just Bought

Image source: plague_child
#51 Strange Spots That I Found On A Freshly Opened Cover Of A Pringles Can. What Are They?

Image source: tokos2009PL
#52 Random Text Sent From My Phone That Wasn’t From Me

Image source: Poetic_head
#53 Mysteriously Appearing Tissues On Ventilation Grill

Image source: BeltOld3864
#54 Wtf Is That

Image source: 1DLW_KiNG1
#55 Pedialyte Ice Pops Turned Green? No Green Flavor

Image source: flowerprincess2001
#56 Found Inside A Box Of White Claws

Image source: kaleoverlordd
#57 My Phone Took A Weird Picture

Image source: Simone3347
#58 This Randomly Appeared On My Couch

Image source: Maulsplifer
#59 From Hiawassee, GA.. Looks Like A Blue Alien Head

Image source: Infinite-Curve6817
#60 Weird Leg Sticker??

Image source: daisykore
#61 Strange Writing In And Old Notebook

Image source: Beneficial-Pay9263
#62 Yesterday My Band Had One Person Listen To One Of Our Songs 54 Times

Image source: mealzer
#63 What Is This Slimy Stuff I Saw?

Image source: Ok-Athlete-4
#64 Book Published The Date I Bought It? Possibly AI?
So I ordered this book, “The Mind Hijackers” by Jonathan Graves on 6/19/2025 from Amazon. My boyfriend was looking through it and mentioned he felt it may have been information complied and written by AI. In the back of the book it says the publish date was 6/19/2025, same date I ordered it. When I look at the book on Amazon ( https://a.co/d/4NfUpNd ) it has 31 reviews, from dates before it was supposedly published. We were curious so we looked up the ISBN and it says it was published on 6/11/2025, but there are still reviews from before that. We think it must be an updated version or something. But it was strange. We looked up the author and he has a few books, all very similar, all published within a few months of each other. He doesn’t seem to have any qualifications or personal knowledge/research regarding psychology. I will add a few pages to this post so y’all can tell me if you think it is AI or not. I’m kind of starting to think it may be. It’s even formatted like Chat GPT.

Image source: Plantedfishies
#65 Can Some One Explain To Me How Water Is “Alive” And What Do You Do With It?

Image source: Successful_Intern665
#66 A Malaysian Friend Of Mine Found Solitary Lockers In University

Image source: sagecolourferret
#67 I Just Made Myself Into A Little Bowl On A Table

Image source: reducedone
#68 Found Strange Card In My Workplace Celling
We recently had a leak at my job and had to take out some ceiling tiles to reach the affected areas. I had some free time and decided to go up and look around and found mostly nothing except thousands of dust bunnies, but the corner of this card caught my eye. It has 2 dollar amounts I assume ($4.22 & $9.49), the phrase “not fair”, and a set of coordinates I think (33.5446541, -101. 8510270) written on it, anyone have ideas on what this means? The rest of the portion of the celling I could see looked typical with just wires and debris from previous repairs.
Pictures of hole in the ceiling as well as where the card was found and the front and back of card, I was unable to scan the QR code but when i looked up the company it took me to a religious website dealing with mental health among

Image source: AcanthocephalaBrief6
#69 Creepy Photos Of A House From 2004 (Context In Bio)
Good evening. I am French. Today, I cleared out my uncle’s house, who passed away last July. He lived in Auvergne Rhône-Alpes, near a town called Valence. He was an ASPTS in the forensic science department (specialized PTS agent) and carried out basic investigations (taking photos, collecting samples, taking fingerprints, etc.). While clearing out his house, I found this series of three rather intriguing photos in a shoebox on a shelf.
I asked my parents what they were, but they said they didn’t know and didn’t talk much about his work with my uncle. They date from December 2004, or at least were printed at that time. The atmosphere they convey is very unusual; the photos literally have mushrooms growing on them, which is why I named the account that.
I would like to find the location of this house, as it is probably a crime scene, given my uncle’s work, but it is not very clear. That is why I prefer to remain anonymous, as it may be illegal. I am just giving the approximate location of where my uncle lived. It could also be a photo related to a crime scene, but as evidence. In addition, the photos have been pinned as if to be displayed, as they have holes in the upper part. Thank you for taking the time to read this message, and I hope to be able to provide more information about these photos and will respond to any messages if there are any.
Have a good evening, everyone.

Image source: VegetableEvent4543
#70 Found On The Floor Of My Yard

Image source: sexylassy
#71 Which Is Weirder?
my boyfriend eats corn kernel by kernel – he’ll pick off one, eat it, pick off another, etc. etc.
i eat donuts from the outside – so I “skin”/eat the outside that’s fried and the frosting (unless it’s a thin ass donut like Dunkin’ Donuts then I eat the whole thing because there’s no “crust”) and I refuse to eat the inside/spongey part.
My best friend knows of MY odd tendencies but just found out about his, and it’s been a debate between the three of us for a while of whose is weirder.
Skinning donuts, or picking each kernel off at a time?

Image source: Dry-Review-7270
#72 My Mom Has Gotten These Strange And Creepy Messages On Her Phone Screen While In Airplane Mode. One Yesterday And A New One Just Now
It’s not a text message and it’s freaking her out!
Can’t figure out what it is or who it’s from.

Image source: OneTimeYouths
#73 Does This Photo Make Anyone Else Feel An Uncanny Discomfort ?

Image source: reddit.com
#74 My Dog Brought In God, Well Jesus

Image source: Individual_Risk8981
#75 Seeking Info On This Semi-Truck Angel

Image source: AskAdventurous6640
#76 Found This In The Adult Bev Of My Grocery Store? (Repost)
“it’s been weeks & i can’t for the life of me figure out wtf this is. it’s clearly a can full of liquid, but it’s not marked at all, especially not for individual sale, and it’s seemingly expired? for context i found this on october 3rd, & no jokes on the expiry, it tells itself.😂 no cans around matched the description in the slightest – no white cans with sleeves – nor did any of the cases. it’s been literally eating at my mind that i can’t figure this out.
i also thought it was unsafe in a way, bc anyone – including a minor – could just take it & walk out of the store with essentially no repercussions bc there’s no way to prove purchase even if they tried.” no barcode, no buy, as someone else said. and i couldn’t just take it bc this aisle is strategically in the eyeline of the employee manning the self check out.

Image source: ddanielle99
#77 Terribly Afraid Of Pylons For 1 Day
So basically this happened when i was about 13 or 14yrs old and I was traveling from my house to my friends a 4 hour trip. I saw a center pivot in a field and told my sister that when I was little I though they looked like giant caterpillars that were coming to get me. (I had lied for attention, I never thought that in my life and had never been scared of them) then I took a nap for about 45min, I woke up and saw a pylon and was the most scared ive been in my entire life, so terrified I wanted my dad to turn around and drive away from it, I thought it would come alive, break free from the power lines and use all four legs to run after me. I had never been so scared of pylons or any structures. The drive to my friends house was mostly farm and country type of roads so there were a lot of pylons and I had to close my eyes every time I saw one, I would ask my sister’s to tell me if we were about to drive past one or not. My parents thought I was doing this for attention I come from a family of 8 kids so I did a lot of stuff to try and be noticed more. But I wasn’t doing it for attention and was genuinely horrified by the sight of a pylon I couldn’t bear it. I decided to take another nap so I didn’t have to look out the windows and see one again, after I woke up suddenly they weren’t scary at all but just totally normal just like it used to be. Now I couldn’t tell my family I wasn’t scared anymore because then they would definetely assume I did it for attention, so I pretended to be scared of them for a few more weeks and gradually stopped mentioning it to let them forget about. I have no idea why this happened, one of the weirdest things that happened to me.

Image source: Frosty_Window6162
#78 What Is My Cat Seeing/Doing
He started to look in our living room out of nowhere, there’s no sound coming from somewhere and there’s nobody home.

Image source: Ok_Reception2414
#79 Is This Tiger Tooth?

Image source: Mindless-Outcome-272
#80 Found Two Diffrent Logos On Pepsi Bottles

Image source: whyamihereg0d
Follow Us





