There are days when the air seems to have a whiff of positivity. You make the bus on time, breeze through the traffic, and excitedly skip to wherever you need to be. And then there are times when your alarm doesn’t go off for some reason, and you scramble to get ready just for a million things to go wrong. The sandwich you went to put in your mouth drops on the ground and the train you hoped to catch was so overcrowded all you could do was watch it take off into the distance.
But it can always get worse, and people on this list are living proof of that. If you’re having a bad day yourself, scroll down to find comfort in knowing that others have it tougher than you, and don’t forget to share the most unfortunate things that turned your day upside down.
While you’re at it, be sure to check out a conversation with an expert in positive psychology, Ruth Steggles, and positive psychology play consultant, Jeff Harry, who kindly agreed to give us a few tips on how to turn a bad day around.
#1 Facade Wall Contractors Used A Drill Too Long For The Job

Image source: RealTeslaFan
#2 What, No Tie-Down? This Happened Not Even 50 Yards Later

Image source: Key_Advantage4239
#3 My Wisdom Toot. You’d Think It Would Be Wise Enough To Not Do This Type Of Stuff

Image source: mdaws7
#4 My Stove/Oven Broke And The Display Doesn’t Even Say The Time Anymore

Image source: Strange-Movie
#5 Thought One Of The Bulbs Burned Out In The Backyard

Image source: XROOR
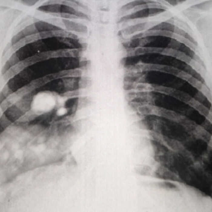
#6 Not What I Expected On A CT Scan Following A Suspected Gallbladder Attack
It’s exactly what it looks like. I’m now terminal at 40 years old. Consider this a PSA: go to the damn doctor when you’re in pain. You never know.

Image source: lickykicky
#7 On My Way To Start College And My Car Caught Fire With Everything I Own Inside Of It
No one was hurt in the slightest, and I was the only one in the vehicle when it caught fire. Thankfully, I could get everything out of the car before the fire got too bad and we had to back away. The fire department put it out very quickly, so no real damage was caused. Also, a little bit of context: my father was in his car, and I was between him and a truck. I sped up to try and pass the truck and try to close the distance between us. He was guiding me and had some of my things in his car. As I accelerated, I heard a pop, and my car began to slow down, and before I could react, it popped again and entirely died. I threw on my flashers pulled off to the side of the road and began trying to call my dad when the guy in the truck who was in front of me came up and started seeing if I needed help when we noticed the crackling of a fire under my hood. I popped the hood, and we saw the firewall was about to be fully engulfed by flames, so I called 911 while he began pulling all my things out.

Image source: CarDoor_Curti
#8 Here’s The View From My Front Door, I Would Like To Note That It’s Not Even 4 PM And This Is How Dark It Is Because Of The Fires Nearby My Town

Image source: Pezington12
#9 Saw This After Hearing The Loudest Scream Of My Life
I was working and heard someone screaming at the top of his lungs. Went to the bathroom and saw this. The poor guy was taking a dump when this happened.

Image source: Revolutionary_Town21
#10 Rearranging Fridge, Watermelon Rolled Out. I Ignored Thinking I’d Grab It In A Second. It Continued To Roll Down The Nearby Staircase

Image source: LazloDaLlama
#11 I Guess My Sunscreen Wasn’t Water-Resistant

Image source: Pale-Equal
#12 My Entire Neighborhood Is Submerged In Flood Water With Raw Sewage In It

Image source: NoMoreScaryDreams
#13 Microwaved A Smucker’s Uncrustable (Premade Peanut Butter And Jelly Sandwich) For 15 Seconds And Got A 2nd Degree Burn. This Is About 5 Days After It Happened

Image source: Praxzey
#14 My Legs After Mowing My Lawn While It Was Still Wet

Image source: Fickle-Supermarket16
#15 The Semi Truck Got Nailed By A Freight Train. My House Is On The Other Side Of Those Train Tracks

Image source: astakask
#16 Let’s Get A Roomba They Said, You Will Have Less Cleaning They Said

Image source: nocakes96
#17 Flashback To When My Dog Chewed A Hamster-Sized Hole In The Drywall. The Last Photo Is Him With The Drywall Dust On His Nose Caught Red-Handed

Image source: LeviathanMozart180
#18 Found Out The Hard Way That Apparently I’m Very Allergic To Fire Ants
Was getting the mail without shoes on, felt a sting, and immediately swatted it off. Fast forward 5 minutes later, and I’m completely naked in my house, scratching like I’ve never scratched before. Then I noticed my palms and fingertips were now blue, followed by hives from the top of my neck down to my toes.

Image source: thatoneguyy22
#19 Someone Threw A Brick Off An Overpass. I Was The Lucky Winner

Image source: InevitableFun3473
#20 Came To My Car Window Smashed This Morning. I Don’t Know Any Tomas And I’m Not In Debt To Anyone

Image source: siggiarabi
#21 Bought My First Car, Got Hit Within Less Than 12 Hours

Image source: Kellybelly5200
#22 Bedroom Ceiling Collapsed

Image source: kmcatie
#23 Someone Reversed Their Boat Trailer Into My Rental

Image source: vikingmushrooms
#24 This Dental Estimate My Partner Received Was Just To Make Him Pain-Free. This Is After Insurance Too. The Dental Industry Is Absolutely Insane

Image source: chiiave
#25 Can’t Get Back Inside Because She Threw A Hissy Fit And Opened The Stove Bottom Drawer, Which Is Keeping The Door From Opening

Image source: CSirizar
#26 Welp

Image source: Allocerr
#27 I Came Back From Vacation, And Ants Built Their Colony In My Laptop. Those Crumbs Were All Eggs, And The Inside Of The Laptop Was Full Of Them. The Computer Wouldn’t Turn On

Image source: NevermindWait
#28 The Store Manager Was Furious At Me (The Customer)

Image source: Chrisp720, Chrisp720
#29 Got Rudely Awaken By The Sound Of Everything In My Kitchen Cupboards Crashing To The Floor

Image source: thecookietrain
#30 Couldn’t Hit 88 Mph As The Storm Hit

Image source: MimirX
#31 Got Woken Up, Naked In My Bed, By Four Police Officers Executing A Search Warrant For Someone Who Hasn’t Lived At My Address In Years

Image source: MrBeaverEnjoyer
#32 Water In My Parents’ Garage From Hurricane Helene. It’s Going To Get Worse. Luckily, The Entire First Floor Of Their House Is A Garage. It Was About 10 Inches When This Was Taken

Image source: CowSeparate5803
#33 A Sea Lion Took A Bite Out Of My Salmon While It Was Being Reeled In

Image source: SippinLimonadas
#34 Forgot To Close The Window Before Getting A Carwash

Image source: Modern-Day_Spartan
#35 I Slipped In The Shower And Went Face-First Into The Knobs. Now My Lips Look Like This

Image source: Hexiix
#36 Dropped Off My Car To Get My Brakes Changed. Got These Pictures Texted To Me Instead
Apparently, the shop hand didn’t know how an electronic e-brake works. Said he parked it in front of the shop, and when he came back out to pull it into the bay, he found it across the parking lot embedded into a wall.

Image source: Skytrip
#37 I Am 46. How Bad Must I Look To People?

Image source: DreamTalon
#38 My Fiancé And I Bought Our First Home A Month Ago. Not Living In The Place Yet, But Today We Found Our Front Window Shattered

Image source: Jay_PDT96
#39 Took Out My Earbuds And The Tip Said “No Thanks, I’m Good”

Image source: taylorguitar13
#40 We Grew A Half Acre Of Carrots That All Turned Out Like This (15,000 Lbs)

Image source: Radi5h
#41 Was So Looking Forward To Making A Pie

Image source: itisSUNNYinhere
#42 The Paint Store Guy Didn’t Close The Can Properly
Bought a car one week ago. Picked up paint while on vacation to paint my mom’s house. A teenager working at a paint store didn’t close the can properly. That’s 1 gallon of slightly greenish-gray wall paint on the floor of my new car.

Image source: zalik9
#43 This Was Not How I Expected To Spend My Wednesday

Image source: sleeplessaddict
#44 2 Hours Into A 7-Hour Road Trip

Image source: SpeedySpooley
#45 Guy Found A Novel Way To Break Into My Store

Image source: Cowboypunkstarcactus
#46 Just Got My PS5 Recently. Had To Evacuate My House A Few Days Ago Because Of A Tropical Typhoon. This Is What I Came Back After The Storm Has Settled

Image source: Affectionate_Big8864
#47 Well, I Managed To Go Four Years Without Getting COVID, And I Got It Right Before A Trip

Image source: the_orange_alligator
#48 Diaper Got Mixed With Laundry And Went Into Washing Machine. Everything Is Covered In Absorbent Hydro Gel

Image source: SpelunkPlunk
#49 My Mom Left Her Car For 2 Months, Came Back To It Covered In Mold

Image source: FeaRoFDerbi
#50 Took The Wife Out Of Rehab For A Walk Through The City. She Was Making A Selfie And Lost Her Grip On Her Crutch. It’s Still There… Impossible To Retrieve

Image source: goprinterm
#51 Apparently I’ve Been Breathing In Copious Amounts Of Black Mold Spores For The Past 6 Months
#52 I Went To A Wake For A Family Member Today. There Was Only One Other Person There
#53 My Brother Went Outside This Evening And Saw This. Yes They’re Maggots
#54 Well That Does Suck…
#55 46. I Am 46. How Bad Must I Look To People?!
Follow Us






